You’ve probably noticed those tiny, white clumps nestled in the back of your throat, and when they dislodge, the unpleasant odor hits you like a surprise you never wanted. It’s frustrating to deal with something that affects your breath and comfort, especially when it seems to pop up without warning, making social interactions or even just swallowing feel off. But understanding what’s behind these formations can help you feel more in control. Stick around, because by the end of this article, you’ll uncover a simple habit that many overlook but could change how you approach oral care entirely.

What Are These Small White Stones in Your Mouth?
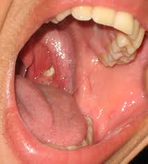
These small, white or yellowish formations are commonly known as tonsil stones, or tonsilloliths. They form in the crevices of your tonsils, which are the two lumps of tissue at the back of your throat. Made up of hardened debris like food particles, dead cells, and mucus, they can vary in size from tiny grains to larger pea-sized lumps.
Research from sources like the American Academy of Otolaryngology shows that tonsil stones affect up to 10% of the population at some point. They’re not usually harmful but can be bothersome due to their location.
But that’s not all—let’s dive deeper into why they show up.
Why Do Tonsil Stones Form and Smell So Bad?
Tonsil stones develop when debris gets trapped in the tonsil crypts, those natural pockets in the tonsils. Over time, bacteria break down this material, leading to calcification and the stone-like texture.
The bad smell? It’s caused by volatile sulfur compounds produced by anaerobic bacteria thriving in those low-oxygen environments. Studies in the Journal of Clinical Microbiology highlight how these bacteria contribute to halitosis, or bad breath, in many cases.
Sự thật là, certain factors can make you more prone to them. For instance, poor oral hygiene allows more debris to accumulate.
Here’s something interesting: chronic inflammation or large tonsils with deeper crypts can increase the likelihood. If you have frequent sore throats or post-nasal drip, that mucus buildup adds to the mix.

Common Triggers That Lead to Tonsil Stones
Several everyday habits and conditions can contribute to the formation of these stones. Understanding them helps you spot patterns in your routine.
- Dietary Choices: High-dairy or sugary foods can leave residues that get stuck.
- Hydration Levels: Not drinking enough water leads to thicker saliva, trapping more particles.
- Oral Health Practices: Skipping brushing or flossing means more bacteria in the mouth.
A study from the International Journal of Oral Science suggests that dry mouth, or xerostomia, exacerbates debris accumulation.
But wait, there’s more—smoking or allergies can dry out your mouth, creating an ideal environment for stones.
How to Spot Tonsil Stones Early
Noticing tonsil stones isn’t always straightforward, but there are signs to watch for. A persistent bad taste or odor in your mouth, even after brushing, is a common clue.
You might feel a sensation of something stuck in your throat, leading to frequent coughing or throat clearing. In some cases, a sore throat or ear pain can accompany them due to shared nerve pathways.
Using a mirror and flashlight, gently open your mouth wide to check the tonsils for white spots. If they’re visible, that’s a telltale sign.
This is key: early detection through self-checks can help you address them before they grow larger.
Simple Daily Habits to Help Manage Tonsil Stones
Incorporating easy routines into your day can make a difference in handling these formations. Start with thorough oral hygiene—brush twice daily, focusing on the back of your tongue where bacteria hide.
Gargling with salt water is a straightforward step. Mix half a teaspoon of salt in warm water and swish for 30 seconds after meals.
Here’s a step-by-step guide to effective gargling:
- Prepare the solution fresh each time.
- Tilt your head back slightly.
- Gargle without swallowing.
- Spit out and repeat if needed.
Drinking plenty of water throughout the day keeps your mouth moist, reducing debris buildup.
And here’s the part many miss: using a water flosser aimed at the tonsils can dislodge particles gently.

When to Consider Professional Advice
While home habits help, sometimes professional input is useful. If stones are large or recurrent, a healthcare provider can offer insights.
They might suggest options like a thorough cleaning or, in rare cases, discuss tonsil removal if issues persist.
Remember, it’s about finding what fits your situation. Studies from ENT journals indicate that most people manage well with conservative approaches.
But that’s not the end—let’s look at some myths.
Debunking Common Myths About Tonsil Stones
Myth 1: Tonsil stones mean you have an infection. Not necessarily—they’re often just debris, though bacteria play a role.
Myth 2: Only people with tonsils get them. True, but tonsillectomy isn’t always the answer.
Myth 3: Mouthwash alone eliminates them. It helps, but combined habits work better.
Research from the British Dental Journal supports that multifaceted oral care is more effective.
This leads us to practical tools.
Tools and Products That Might Assist
Consider these options for your routine:
- Soft-Bristled Toothbrush: For gentle tongue scraping.
- Non-Alcoholic Mouthwash: Reduces bacteria without drying the mouth.
- Cotton Swabs: For careful manual removal, but use cautiously.
A comparison table of gargle solutions:
| Solution Type | Ingredients | Benefits | Drawbacks |
|---|---|---|---|
| Salt Water | Salt, Water | Natural, Inexpensive | Salty Taste |
| Baking Soda | Baking Soda, Water | Neutralizes Odors | May Irritate |
| Apple Cider Vinegar | Vinegar, Water | Antibacterial Properties | Acidic, Use Diluted |
Choose based on preference.
Now, for long-term strategies.
Long-Term Strategies for Better Oral Health
Building habits over time pays off. Track your diet to avoid trigger foods, like reducing dairy if it seems to contribute.
Incorporate probiotics through yogurt or supplements, as gut health links to oral bacteria balance, per microbiome studies.
Exercise regularly to boost overall immunity, potentially reducing throat issues.
Here’s the interesting bit: nasal irrigation with a neti pot can clear post-nasal drip, a common culprit.
Stay consistent, and you might notice fewer occurrences.
Potential Links to Overall Health
Tonsil stones can sometimes signal broader issues, like allergies causing excess mucus.
Maintaining good sleep hygiene ensures better saliva flow at night, preventing dry mouth.
A balanced diet rich in fruits and veggies supports immune function, indirectly helping.
Studies in Nutrition Reviews connect hydration and diet to oral health outcomes.
But here’s the twist: stress management through mindfulness can reduce habits like mouth breathing.
Wrapping It Up: Key Takeaways on Tonsil Stones
In summary, those small smelly white stones are tonsil stones formed from trapped debris and bacteria. By adopting simple habits like gargling, staying hydrated, and maintaining oral hygiene, you can manage their appearance effectively.
Remember that open loop from the start? The overlooked habit is tongue scraping daily—it removes bacteria at the source, often reducing stone formation noticeably.
For more personalized advice, consult a healthcare professional.
Frequently Asked Questions (FAQ)
- What causes the bad smell from tonsil stones? The odor comes from sulfur compounds produced by bacteria breaking down debris in the tonsils.
- Can tonsil stones go away on their own? Yes, many dislodge naturally through coughing or swallowing, but persistent ones may need attention.
- Are tonsil stones preventable? While not always, good oral habits like regular brushing, flossing, and hydration can help minimize their occurrence.
Disclaimer: This article is for informational purposes only and not a substitute for professional medical advice. Always consult a healthcare provider for concerns about your health.